รวมรูปภาพหูดหงอนไก่
รูปภาพหูดหงอนไก่ ปลายอวัยวะเพศชาย
หูดหงอนไก่ที่ปลายอวัยวะเพศชาย มีลักษณะเป็นติ่งเนื้อสีชมพูกระจายออกทางด้านบน ดูคล้ายหงอนไก่หรือดอกกะหล่ำ เป็นนานๆจะเริ่มแข็งขึ้น บางตุ่มที่อยู่ใกล้กันจะมาต่อกันเป็นปื้นหนาได้ ในผู้ชายมักเป็นด้านในของหนังหุ้มปลาย

รูปหูดหงอนไก่ ที่อวัยวะเพศชาย

รูปภาพหูดหงอนไก่ ปลายอวัยวะเพศชาย
รูปภาพหูดหงอนไก่ ที่อวัยวะเพศหญิง
ในผู้หญิง ตำแหน่งที่พบหูดหงอนไก่ได้บ่อยคือปากช่องคลอด นอกจากนั้นยังพบที่แคม คลิตอริส ผนังช่องคลอด ปากมดลูก ทวารหนัก แลฝีเย็บได้ด้วย

รูปภาพหูดหงอนไก่ ที่อวัยวะเพศหญิง

รูปหูดหงอนไก่ที่เกิดบริเวณปากมดลูกของผู้หญิง
รูปหูดหงอนไก่ที่ทวารหนัก
ผู้ป่วยชายรักร่วมเพศมักเป็นหูดรอบทวารหนัก ซึ่งอาจลุกลามเข้าไปภายในได้เช่นเดียวกัน หูดหงอนไก่มักเริ่มจากขนาดเล็กๆ ก่อน แล้วโตขึ้นเรื่อยๆ สาเหตุที่ทำให้โตเร็ว ได้แก่ การตั้งครรภ์ ตกขาว ความสกปรก ทวารหนักติดเชื้อ

รูปภาพหูดหงอนไก่ รอบทวารหนัก

รูปภาพหูดหงอนไก่ รอบทวารหนัก
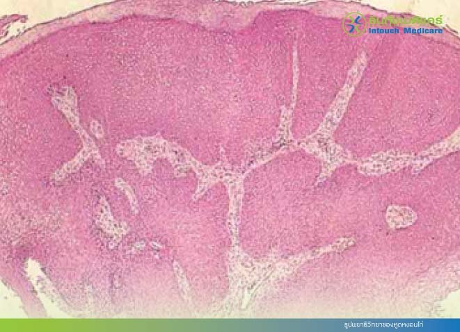
ภาพพยาธิวิทยาของหูดหงอนไก่
-
เชื้อ HPV ทำให้เกิดการติดเชื้อใน epithelial cell ของผิวหนังและเยื่อบุเท่านั้น หลังการติดเชื้อไวรัส เซลล์จะมีการเปลี่ยนแปลง และเพิ่มจำนวนขึ้นเร็วจนเกิดเป็นเม็ดหูดขึ้น ทางพยาธิวิทยาพบว่าชั้นที่มีการหนาตัวอย่างมากจนทำให้เกิด papillomatosis คือชั้น malpighian layer
- ในชั้นนี้พบเซลล์ขนาดใหญ่จำนวนมาก มี vacuole ล้อมรอบด้วยนิวเคลียสที่มีลักษณะกลมและติดสีเข้มซึ่งเป็นลักษณะของเซลล์ที่มี cytopathic effect จากการติดเชื้อไวรัส

รูปพยาธิวิทยาของหูดหงอนไก่

ภาพ Vacuolated cell ซึ่งเกิดจากการติดเชื้อ HPV
รูปภาพหูดหงอนไก่ที่ปาก
การร่วมเพศทางปากอาจทำให้เกิดหูดหงอนไก่ขึ้นในปากได้

เอกสารอ้างอิง
-
คู่มือโรคติดต่อทางเพศสัมพันธ์, นิวัติ พลนิกร สำนักพิมพ์ เมดิคัล มีเดีย, 2529.
-
โรคติดต่อทางเพศสัมพันธ์, สำนักพิมพ์ข้าวฟ่าง , 2521
บทความที่น่าสนใจ
อินทัชเมดิแคร์คลินิกเวชกรรม
คลินิกเวชกรรม
แก้ไขล่าสุด : 19/09/2023
อนุญาตให้ใช้งานภาพโดยไม่ต้องขออนุญาต เฉพาะในเชิงให้ความรู้ หรือเพื่อการศึกษาเท่านั้น โดยต้องให้เครดิตหรือแสดงแหล่งที่มาของ intouchmedicare.com

EN
MM

